“你看!脚直了!一点都不疼!” 术后第二天,49岁的张阿姨(化名)躺在泉州东南医院的病床上,看着自己终于“变直”的右腿,难掩激动地喊出声来。这一刻,她期盼了太久。
这场长达22年的膝盖折磨,始于一次交通事故。当时,因受伤后未能规范治疗,导致张阿姨的右膝出现膝内翻畸形(俗称“O型腿”或“罗圈腿”),半月板受损,甚至右腿比左腿短了2厘米,走路跛行。
多年来,张阿姨右膝活动时总伴随着隐隐作痛,从爬山时的酸胀无力,逐渐发展到走平路都僵硬不适。更让她忧心的是,双腿并拢时,右膝明显向内“拐”,畸形日渐加重。此外,长短腿还引发了连锁反应,左腿和腰部也开始疼痛“抗议”,症状日益严重,日常生活举步维艰。
为了治好这折磨人的膝盖,张阿姨辗转闽南多地求诊,但得到的建议大多是:“先截骨,实在不行再换关节。”年仅49岁的张阿姨家中还有活要干,她不甘心:“换关节太早了,听说用了20年又要换,不仅费用高,功能也没有自己的骨头好。”
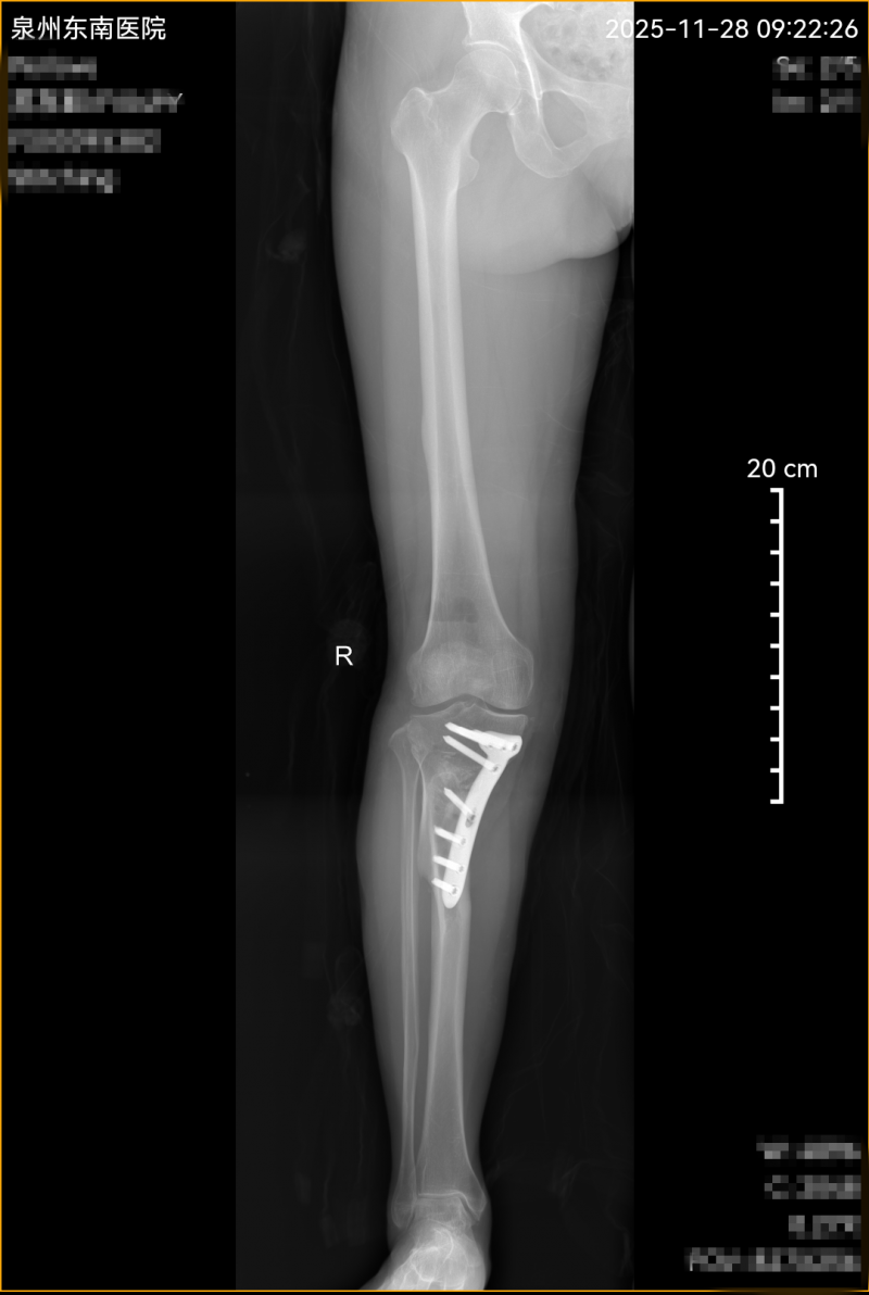
转机出现在泉州东南医院骨科。张阿姨打听到,该院副院长姜雪松带领的骨科团队在“保膝”治疗方面经验丰富,特意从安溪老家赶来求诊。检查结果印证了病情的复杂:X光片清晰显示右膝关节严重内翻畸形,属于典型的“下肢力线不正”。

“虽然张阿姨年纪不算太大,但内翻畸形导致膝盖内侧受力异常增大,就像一张‘歪脚桌子’,越‘拐’磨损只会越重,形成恶性循环。”姜副院长解释道,“如果不干预,关节磨损将急速加剧,最终难逃置换命运。”
“我还想再干十几年活,不想早早换关节!” 张阿姨的诉求朴实而坚定。
经过严谨评估,姜副院长给出了希望的答案:“她的膝关节内侧软骨虽然磨损,但外侧相对完好,仍有修复空间。胫骨高位截骨术(HTO)是最佳选择——不用置换关节,只需精准矫正‘歪掉’的力线,让膝盖重新‘受力均匀’,就能保住原有关节!”这一方案,让张阿姨悬着的心终于放下。


姜副院长形象地比喻HTO手术:“这就像给膝盖‘调重心’、‘扶正桌子腿’。”具体而言,通过在胫骨近端(高位)进行精确的双平面截骨,医生能像“调整门框”一样矫正畸形角度,将原本偏向内侧的巨大压力合理分配到整个关节面。这样不仅能有效矫正“罗圈腿”,还能为不堪重负的内侧软骨“减负”,创造自我修复的条件。
相比一些医生曾建议的传统截骨术(需大范围截骨、切除骨质韧带、恢复期漫长)或全膝关节置换(费用高昂、创伤较大、使用寿命约20年、功能受限),HTO手术优势显著:切口小、创伤小、保留膝关节所有主要韧带和自身关节结构,最大程度维持了膝关节的自然运动功能和本体感觉。
手术成功。术后第二天,张阿姨便在骨科医护人员指导下拄双拐下地活动,激动地看到了自己“变直”的腿。

姜副院长介绍,患者术后3-4天即可出院,约6周后可逐渐过渡到完全负重行走(需遵循康复计划),截骨处骨质愈合通常需3个月左右 。
手术不仅矫正了畸形,平衡了膝关节受力,阻止了软骨进一步磨损,还能有效缓解疼痛、改善功能。其最终目标是延长患者自身膝关节的“自然寿命”,延缓甚至避免未来进行关节置换。
对于像张阿姨这样渴望保留自身关节、追求更好术后功能和生活质量的活跃患者,HTO提供了一种宝贵的“保膝”选择。(通讯员 姜海瑞)
